
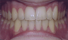
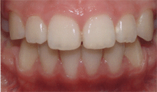
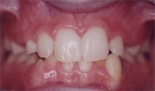
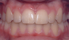
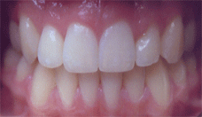
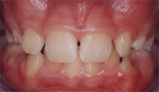
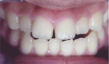
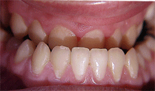
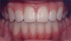
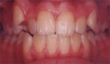
The photos below represent a few orthodontic problems and the result that was obtained with either conventional orthodontic treatment, or orthodontic treatment combined with surgery to the jaws (adult patients)
![]() |
![]() |
![]() |
![]() |
||||
| Before | After | Before | After | ||||
![]() |
![]() |
![]() |
![]() |
![]() |
![]() |
||
| Before | After | Before | After | Before | After |