What Braces Can Fix

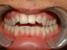
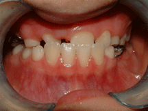
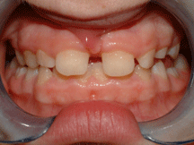
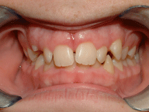
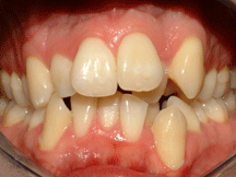
The photos below represent various problems that can occur with the alignment of your teeth. Orthodontic treatment is required to bring the jaws, teeth and soft tissue of the face into the proper alignment and balance.

   
Crossbite   Crowding   Deep Overbite
   
Open Bite   Protrusion   Spacing

 

© 2009 Dr. Zia Beg Professional Corporation. All rights reserved. Site design + development by Resonance Media + Design.